Врачи удалили у пенсионерки гигантский зоб размером с баскетбольный мяч.

2 д. назад

13

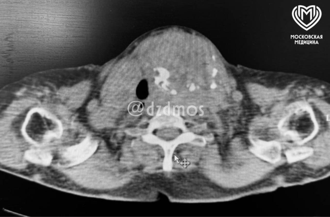
79-летняя женщина обратилась к врачам на жалобы с дыханием. Женщину отправили в реанимацию —
огромный зоб, который сильно сжимал трахею, оставляя в ней всего 4 мм свободного
пространства.

В любой момент у женщины могла начаться остановка дыхания. Также врачи нашли у нее проблемы с сердцем и сдавленные сосуды на шее.

«Нам нужно было провести операцию по удалению щитовидной железы в условиях практически невозможной интубации! Наши анестезиологи совместно с эндоскопистами применили уникальную методику: интубацию в сознании с использованием фиброскопа, что позволило аккуратно провести дыхательную трубку через суженный участок трахеи без риска полной закупорки дыхательных путей. Далее хирурги провели операцию менее, чем за 2 часа, через разрез на шее удалив щитовидную железу с многоузловым поражением объемом ~ 900 мл (при норме до 20 мл у здоровых людей)», — пояснили в больнице.


Сейчас пенсионерка чувствует себя хорошо, ей удалили щитовидную железу и теперь она дышит самостоятельно, но пока находится под наблюдением врачей.

Подпишись ЧП18+

Еще новости:

Папаша из Твери катал сына на электросамокате по проезжей части

ЧЁ 18+

Папаша из Твери катал сына на электросамокате по проезжей части

Все закончилось ДТП — отец врезался в девушку-пешехода.Мы не Х не понимаем происходит - но очень интересно )) Подпишись.... Читать далее >>

53 мин. назад 4
В питерском баре мужчина сломал руку во время поединка по армрестлингу. Хруст раздался по всему заведению

ЧП 18+

В питерском баре мужчина сломал руку во время поединка по армрестлингу. Хруст раздался по всему заведению

Судя по счастливому лицу пострадавшего, в первые секунды он даже не понял что произошло. Подпишись ЧП18+... Читать далее >>

1 ч. назад 12
Полицейские прострелили ногу обезумевшей женщине с ножом в Татарстане. Перед этим дама повредила несколько автомобилей и угрожала прохожим.

ЧЁ 18+

Полицейские прострелили ногу обезумевшей женщине с ножом в Татарстане. Перед этим дама повредила несколько автомобилей и угрожала прохожим.

Очевидцы рассказали, что женщина вышла с ножом перед общежитием педагогического колледжа города Мензелинск. Кричала нечленораздельные фразы, резала шины у машин и кидалась на людей с ножом. Предварительно, она была сильно пьяна. На место прибыл наряд полиции. Сотрудники сначала попытались успокоить ... Читать далее >>

2 ч. назад 6
За булочку и убить могут: безумная обстановка в британском McDonald's

ЧП 18+

За булочку и убить могут: безумная обстановка в британском McDonald's

В некоторых точках общепита подросткам запретили вход после 17:00. Все из-за постоянных драк и хулиганства. По словам сотрудников, по вечерам рестораны превращаются в хаос. ... Читать далее >>

3 ч. назад 6
Банда подростков 13-14 лет систематически грабит рестораны Владивостока. Причем ребята берут не деньги, а еду

ЧЁ 18+

Банда подростков 13-14 лет систематически грабит рестораны Владивостока. Причем ребята берут не деньги, а еду

В последний раз школьники заявились в китайское заведение в масках и с пистолетом. Они несколько дней крутились возле ресторанчика, изучая обстановку. В итоге преступники избили официантку и вынесли коробки с китайскими блюдами.Ранее эта же банда забегала в заведения, вырывала у работников... Читать далее >>

13 ч. назад 11
Сексуальный экстрим из Махачкалы: мужчина надел себе на половой орган замок и не смог снять

ЧП 18+

Сексуальный экстрим из Махачкалы: мужчина надел себе на половой орган замок и не смог снять

Через время, конечно, все «достоинство» пациента опухло и стало бордового цвета. Сами горе-любовники замок снять не смогли. Пришлось обращаться к хирургам, которые спасли беднягу. Подпиш... Читать далее >>

14 ч. назад 21
Ребёнка ошпарило кипятком из лопнувшего радиатора в многоэтажке на Донбассе

ЧЁ 18+

Ребёнка ошпарило кипятком из лопнувшего радиатора в многоэтажке на Донбассе

Когда в дом начали подавать отопление, старые батареи в зале одной из квартир в Макеевке не выдержали. Семилетнюю девочку с ожогами забрали в больницу.Мы не Х не понимаем ... Читать далее >>

15 ч. назад 24
В Липецке подросток ради лайков ударил мужчину ногой в лицо

ЧП 18+

В Липецке подросток ради лайков ударил мужчину ногой в лицо

На улице зумер напал на пожилого прохожего прямо напротив отдела полиции — ради видео для соцсетей. Он подошёл к мужчине и с разбега ударил его ногой в лицо.По словам очевидцев, это не первый случай — парень уже неоднократно нападал на пожилых людей, снимая издевательства.... Читать далее >>

16 ч. назад 10
На полуострове Таймыр белый медведь пришел в гости к полярникам. Попытки...

ЧП 18+

На полуострове Таймыр белый медведь пришел в гости к полярникам. Попытки...

На полуострове Таймыр белый медведь пришел в гости к полярникам. Попытки собак отогнать хищника от дома не увенчались успехом.Облазив первый этаж, косолапый выпрыгнул в окно и убежал. По... Читать далее >>

18 ч. назад 26
Заботливый кот принес хозяину покушать. Мы не Х не понимаем 🤔 происходит - но...

ЧЁ 18+

Заботливый кот принес хозяину покушать. Мы не Х не понимаем 🤔 происходит - но...

Заботливый кот принес хозяину покушать.Мы не Х не понимаем происходит - но очень интересно )) Подпишись.... Читать далее >>

19 ч. назад 20
Еще